Skip to content
Yelp
Facebook
Home
About
Alegre Dental : Dentist Lynn, MA
Call Today:
1-877-564-8016
subject
Home
About
Family Dentistry
Cosmetic Dentistry
Dental Services
Bad Breath or Halitosis
Bridges
Broken Tooth
Crowns
Dentures
Emergency
Fillings Composite
Implants
Root Canals
Whitening
Insurances
Location
COVID-19
Search for:
search
Home
|
Gallery
Gallery
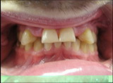
Before
After
Before
After
Before
After
Before
After